Acute Myeloid Leukemia (AML) is characterized by rapidly progressing malignancy of the blood and bone marrow, and is evident by uncontrolled proliferation of immature myeloid precursor or blast cells. This rapid proliferation of immature cells further suppresses normal hematopoiesis. It accounts for approximately 1% of all cancers and about 30–35% of adult leukemias, with an incidence of around 3–5 cases per 100,000 population annually.
Acute Myeloid Leukemia (AML) predominantly affects older adults, with a median age at diagnosis of 65–70 years, and shows a slightly higher prevalence in males. Despite advances in modern treatment, the overall 5-year survival rate remains about 25–30%, with better outcomes in younger patients (40–50%) and significantly poorer prognosis in elderly individuals (less than 15%).
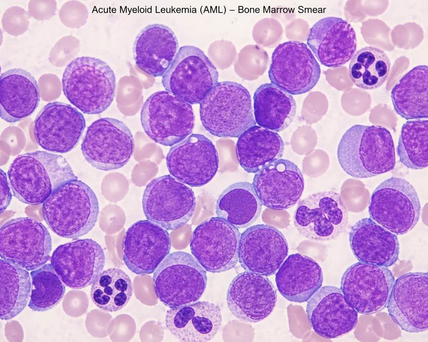
Histopathologically, AML is defined by a hypercellular bone marrow containing ≥20% myeloblasts, which is a key diagnostic criterion. Peripheral blood smear typically reveals circulating blasts with a high nuclear-to-cytoplasmic ratio, and the presence of Auer rods—needle-like cytoplasmic inclusions—is a characteristic feature in certain subtypes.
Types of Acute Myeloid Leukemia (AML)
Acute Myeloid Leukemia (AML) can be classified based on morphology, genetics, and clinical behaviour. The two most commonly used classification systems are the FAB (French-American-British) system and the WHO (World Health Organization) classification.
1. FAB Classification (Based on Cell Morphology)
a) M0 – Minimally differentiated AML.
b) M1 – AML without maturation.
c) M2 – AML with maturation.
d) M3 – Acute Promyelocytic Leukemia (APL).
e) M4 – Acute Myelomonocytic Leukemia.
f) M5 – Acute Monocytic Leukemia.
g) M6 – Acute Erythroid Leukemia.
h) M7 – Acute Megakaryoblastic Leukemia.
This system focuses mainly on how the leukemic cells look under the microscope.
The WHO classification is more advanced and clinically relevant:
A) AML with Recurrent Genetic Abnormalities
a) AML with t(8;21).
b) AML with inv(16) or t(16;16).
c) AML with t(15;17) (APL).
d) AML with mutated NPM1.
e) AML with mutated FLT3.
B) AML with Myelodysplasia-Related Changes
It develops from prior bone marrow disorders.
C) Therapy-Related AML
It often occurs after chemotherapy or radiation therapy.
D) AML Not Otherwise Specified (NOS)
Includes cases not fitting into other categories.
Correlation of Acute Myeloid Leukemia (AML) in Ayurveda
Let’s first understand concept of Raktavaha Strotas, Majjavaha Strotas, and Plihodara (Pleehodara) in Ayurveda:
1) Raktavaha Strotas
शोणितवहानां स्रोतसां यकृन्मूलं प्लीहा च|
Raktavaha Srotas (blood-carrying channels) have their roots in the liver (Yakrit) and spleen (Pleeha) and are responsible for the transport and circulation of blood throughout the body.
विदाहीन्यन्नपानानि स्निग्धोष्णानि द्रवाणि च| रक्तवाहीनि दुष्यन्ति भजतां चातपानलौ||१४||
Consumption of burning (vidahi), excessively unctuous, hot and liquid foods and drinks, along with exposure to sun and fire, leads to vitiation of the Raktavaha Srotas (blood channels) as described in the Charaka Samhita.
“विसर्पः पिडका रक्तपित्तमसृग्दरः। गुदपाकः प्लीहवृद्धिर्व्यङ्गोऽर्शांसि च जायते॥”
Vitiation of blood leads to conditions such as spreading skin diseases (Visarpa), boils, bleeding disorders, excessive bleeding, anal inflammation, enlargement of the spleen, skin pigmentation, and piles, as described in the Charaka Samhita.

2) Majjavaha Strotas
मज्जवहानां स्रोतसामस्थीनि मूलं सन्धयश्च|
Majjavaha strotas has its origin in bones and joints.
उत्पेषादत्यभिष्यन्दादभिघातात् प्रपीडनात्| मज्जवाहीनि दुष्यन्ति विरुद्धानां च सेवनात्||१८||
Excessive crushing or strain, over-nourishing and clogging factors, trauma, pressure or compression, and the intake of incompatible foods lead to vitiation of the Majjavaha Srotas (channels of bone marrow/nervous tissue), as described in the Charaka Samhita.
“अस्थिपर्वसु वेदना भ्रमो मूर्च्छा तमोदर्शनम्। अङ्गसादोऽस्थिशूलं च मज्जदोषे प्रजायते॥”
Vitiation of Majja (bone marrow/nervous tissue) leads to pain in bones and joints, dizziness, fainting, darkness before the eyes, generalized weakness, and deep bone pain, as described in the Charaka Samhita.
3) Plihodara (Pleehodara)
विदाह्यभिष्यन्दिरतस्य जन्तोः प्रदुष्टमत्यर्थमसृक् कफश्च । प्लीहाभिवृद्धिं कुरुतः प्रवृद्धौ प्लीहोत्थमेतज्जठरं वदन्ति ॥ १६ ॥
तद्वामपार्श्वे परिवृद्धिमेति विशेषतः सीदति चातुरोऽत्र । मन्दज्वराग्निः कफ–पित्तलिङ्गै–रुपद्रुतः क्षीणबलोऽतिपाण्डुः ॥
In a person who habitually consumes burning and channel-clogging foods, severely vitiated blood along with Kapha causes enlargement of the spleen leading to Plihodara; the abdomen enlarges predominantly on the left side, the patient experiences weakness, mild fever, poor digestion, symptoms of Kapha and Pitta aggravation, loss of strength, and marked pallor, as described in Madhava Nidana.
Acute Myeloid Leukemia (AML) can be correlated in Ayurveda as a disorder involving simultaneous vitiation of Raktavaha Srotas and Majjavaha Srotas. The uncontrolled proliferation of abnormal myeloid cells in bone marrow reflects Majjavaha Srotas dushti, leading to symptoms like bone pain, weakness, dizziness, and fatigue. At the same time Raktavaha Srotas dushti leads to impairment in blood formation and circulation manifesting as anemia, bleeding tendencies, and reduced immunity.
Additionally, Plihodara (Pleehodara) closely resembles splenomegaly seen in AML. Vitiation of Rakta and Kapha leads to enlargement of the spleen, pallor, mild fever, and decreased digestive power. Thus, AML can be understood as a Tridoshaja condition (predominantly Pitta-Kapha) affecting Rakta and Majja Dhatu, integrating features of Raktadushti, Majjadushti, and Plihodara.
Dr. Ravi Gupta – Best Ayurvedic Doctor for Acute Myeloid Leukemia (AML) Treatment
Dr. Ravi Gupta, Ayurveda Cancer Consultant is regarded as a leading Ayurvedic expert for the management of Acute Myeloid Leukemia (AML), offering a holistic and integrative approach to blood cancer care. AML is a rapidly progressing disorder of the bone marrow and blood, and Dr. Ravi Gupta focuses on addressing it through Ayurvedic principles involving Raktavaha and Majjavaha Srotas, aiming to restore balance at the root level.
His approach combines classical Ayurvedic wisdom with modern understanding, helping patients improve immunity, strength, and overall quality of life while undergoing conventional treatments like chemotherapy. His treatment protocol includes herbal medicines (Aushadhi Chikitsa) such as Guduchi, Ashwagandha, and Manjistha for immune support and blood purification, along with Panchakarma therapies like Basti and Virechana to detoxify and nourish the bone marrow.
📞 Contact Information
Call / WhatsApp: +91-9819274611
Website: www.cancerinayurveda.com

